实验技术服务-病理生化检测

技术服务

NEORABIO

技术服务

通过基因工程手段定向设计和生产生物分子的技术

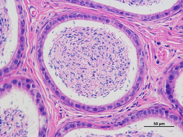
实验技术服务-病理生化检测

依托标准化实验平台与资深技术团队,我们提供覆盖常规病理、IHC/IF、电镜及生化指标检测的全方位服务,助力疾病机制研究与药效评估。常规病理服务涵盖组织固定、包埋、切片及 HE 染色,呈现精准组织形态学分析;IHC 与 IF 检测支持多靶点共定位,实现蛋白表达与亚细胞定位可视化;电镜服务解析超微结构细节,捕捉纳米级形态特征;生化指标检测覆盖代谢物、酶活性等核心指标,提供定量数据分析
实验技术服务-病理生化检测

问题反馈

如果您有产品相关疑问,可以留下您的问题和联系方式,我们会及时联系您!
联系方式
验证码
7195
实验技术服务-病理生化检测

联系我们

技术支持:
support@neorabio.cn
上海伟寰生物科技