RNA pull down 是一种用于研究 RNA 与蛋白质相互作用的经典实验技术,其核心原理是通过体外标记特定 RNA 探针,将其与可能结合的蛋白质进行孵育,然后利用亲和纯化的方式捕获 RNA - 蛋白质复合物,最终通过质谱分析或 Western blot 等手段鉴定结合的蛋白质。
服务流程
RNA探针标记——与胞浆蛋白提取液孵育,形成RNA-蛋白质复合物——与磁珠结合——洗脱——WB/质谱检测
应用场景
RNA功能机制研究:鉴定lncRNA/mRNA/circRNA的靶蛋白
转录后调控解析:研究mRNA结合蛋白(RBPs)对稳定性/翻译的调控
病原体RNA-宿主互作:揭示病毒RNA劫持宿主蛋白机制
药物靶点筛选:筛选小分子化合物对RNA-蛋白互作的干扰效应
技术优势
直接互作验证:排除细胞内间接效应,明确RNA与蛋白的直接结合能力
高灵敏度与特异性:生物素-链霉亲和素系统结合严谨洗涤,显著降低背景噪音
兼容性强:可分析任何人工设计RNA(突变体、截断体),灵活研究功能域
无细胞环境控制:避免细胞内RNA降解/修饰干扰,结果更易重复
联用质谱高通量筛选:单次实验可鉴定数十至数百种新型RBPs,加速RNA互作组学研究
项目主要结果展示
提供高分辨率的清晰图片,准确、客观、可信的检测数据和分析结果
1.相互作用蛋白鉴定结果,质谱鉴定结果和(或)western blot鉴定结果;
2.完整实验报告(包括详细实验步骤及RNA pull down结果相关的图表)。

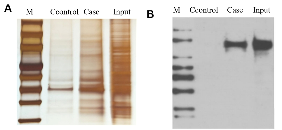
图A: 银染结果显示对照组与实验组存在差异条带 ;图B:实验组中检测到目标蛋白,即目标RNA与目标蛋白存在互作









